Teljesítmény-félvezetők (teljesítményeszközök) vizsgálata és mérése digitális mikroszkóppal
Az adatokat kezelő tipikus félvezetőkkel, például a processzorokkal és a memóriával ellentétben a teljesítmény-félvezetők az elektromos teljesítményt szabályozzák, és teljesítményeszközöknek nevezzük őket. Ez a rész példákat ad a teljesítmény-félvezetők (teljesítményeszközök) digitális mikroszkóppal történő vizsgálatára és mérésére.

- Mi a teljesítmény-félvezető?
- A teljesítmény-félvezetők funkciói
- A teljesítmény-félvezetők típusai és jellemzői
- Példák teljesítmény-félvezetők (teljesítményeszközök) vizsgálatára és mérésére digitális mikroszkóppal
Mi a teljesítmény-félvezető?
Bár meghatározásuk nem egyértelmű, olyan félvezetők, amelyek nagy mennyiségű feszültséget és áramerősséget szabályoznak, névleges áramerősségük legalább 1 A, és amelyeket általában teljesítmény-félvezetőnek hívnak.
A teljesítmény-félvezetők funkciói
- Inverter:
- Az egyenáramot (DC) váltakozó árammá (AC) alakítja át.

- A: Inverter
- a: Egyenáram
- b: Váltakozó áram
- Konverter:
- A váltakozó áramot (AC) egyenárammá (DC) alakítja át.

- A: Konverter
- a: Váltakozó áram
- b: Egyenáram
- Frekvenciaátalakító:
- Átalakítja a váltakozó áramú frekvenciát.

- A: Frekvenciaátalakító
- a: Váltakozó áram
- Regulátor:
- Átalakítja az egyenáramot.

- A: Regulátor
- a: Egyenáram
A teljesítmény-félvezetők típusai és jellemzői
Teljesítménydióda
Funkció: Egyenirányítás
A teljesítménydiódák kapcsolás nélkül egy irányba vezetik az áramot.
Teljesítménytranzisztor
Funkció: Kapcsolás és erősítés
- Tirisztor
- A tirisztorok voltak az első elérhető teljesítménytranzisztorok, jellemzőjük a nagy ellenálló feszültség.
- Teljesítény fém-oxid-félvezető térhatású tranzisztor (MOS FET)
- A teljesítmény-MOS FET jellemzője a nagy sebesség és a nagy frekvencia. Az ilyen teljesítménytranzisztorokat rendszerint olyan termékekben használják, amelyek ellenálló feszültsége az alacsonytól a körülbelül 200 V-ig tartó tartományba esik. Ilyen termékek jellemzően az informatikai eszközök, a laptopokat is beleértve.
- Szigetelt kapujú bipoláris tranzisztor (IGBT)
- Az IGBT jellemzője a nagy ellenálló feszültség, a nagy sebesség és a nagy frekvencia. Az ilyen teljesítménytranzisztorokat rendszerint olyan termékekben használják, amelyek ellenálló feszültsége a közepestől a magasig (200 V-ig vagy nagyobb értékig) tartó tartományba esik. Ilyen termékek jellemzően az elektromos járművek, a hibrid járművek és a vasúti kocsik.
Példák teljesítmény-félvezetők (teljesítményeszközök) vizsgálatára és mérésére digitális mikroszkóppal
Az alábbiakban felsoroljuk a legújabb példákat a teljesítmény-félvezetők vizsgálatára és mérésére a KEYENCE VHX sorozatú 4K-s digitális mikroszkópjával.


Hibás alkatrész vizsgálata teljesítmény-félvezetőn
Optikai árnyékhatás üzemmódban láthatóvá válnak a felszíni szabálytalanságok, így gyorsan megállapítható, hogy a hibás területeket tapadás vagy mélyedés okozta-e.


Teljesítmény-félvezető lapkák anyagának vizsgálata
A becsillanásmentes gyűrűfény funkcióval kiküszöbölhető a felületek csillogása.


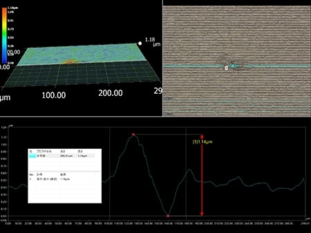
Töltőanyag vizsgálata teljesítmény-félvezető öntőgyantájában
A HDR funkció javítja a kontrasztot, és lehetővé teszi a töltőanyagok pontos profilmérését.




